9 Ways Multitasking is Killing Your Brain and Productivity, According to Neuroscientists.
We’d like to think that we can multitask—respond to emails, text messages, toggle between multiple tabs on a browser, and scroll through social media feeds, whilst working on important tasks—but, our brains would say otherwise.
According to neuroscientists, our brains aren’t built to do more than one thing at a time. And when we try to multitask, we damage our brains in ways that negatively affect our well-being, mental performance and productivity.
Here are 9 ways multitasking is killing your brain and productivity.
1. Multitasking can lead to permanent brain damage
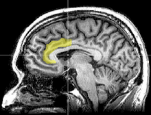
A study from the University of Sussex (UK) compared the brain structure of participants with the amount of time they spent on media devices i.e. texting or watching TV. [1]
The MRI scans of the participants, showed that the high multitaskers had less brain density in the anterior cingulate cortex. This is the brain region responsible for empathy and emotional control.
The lead researcher and neuroscientist, Kep Kee Loh, said “I feel that it is important to create an awareness that the way we are interacting with the devices might be changing the way we think and these changes might be occurring at the level of brain structure.”
The implication of their findings, is that multitasking, especially involving the use of media devices, could permanently alter brain structure after a long period of usage.
2. Multitasking reduces efficiency and mental performance
According to Earl Miller, a neuroscientist at MIT and one of the world’s leading experts on human cognition, attention and learning, “when we toggle between tasks, the process often feels seamless, but in reality, it requires a series of small shifts.” [2]
Each small shift leads to a cognitive cost. For example, each time you switch between responding to emails and writing an important paper, you’re draining precious brain resources and energy.
Miller’s advice is to avoid multitasking, because “It ruins productivity, causes mistakes, and impedes creative thought….As humans, we have a very limited capacity for simultaneous thought, we can only hold a little bit of information in the mind at any single moment.”
To reinforce Miller’s point, another study conducted in the University of California, discovered that it takes an average of 23 minutes and 15 seconds to refocus on a task after an interruption. [3]
And that’s just one interruption! Imagine the amount of time that could go to waste from repetitive interruptions throughout a day.
Next time you’re about to switch between tasks, do the maths and keep this in mind.
3. Multitasking reduces focus and concentration
According to neuroscientist and New York bestselling author, Daniel Levitin, “Multitasking creates a dopamine-addiction feedback loop, effectively rewarding the brain for losing focus and for constantly searching for external stimulation.”[4]
Levitin suggests that the same regions of the brain that we need to stay focused on a task, are also easily distracted.
Each time we multitask—by browsing the internet, scrolling on social media feeds, checking emails and so on—we train our brains to lose focus and get distracted.
Here’s the bad news. Just like the effects of a drug, our brains can get addicted to the dopamine rush from switching tasks and losing focus. Once this happens, it becomes very difficult to break the cycle.
4. Multitasking could make you dumber
A study conducted by the University of London, found that participants who multitasked, experienced drops in IQ points, down to the average level of an 8-year old child. [5]
Next time you’re about to multitask, whilst writing an important email or paper, think about the possibility that there wouldn’t be much difference between the quality of your work and that of an 8-year-old child.
Studies have also shown that multitasking also hinders learning. In 2011, researchers, Reynol Junco and Shelia R. Cotton, published a study on the effects of multitasking on academic performance.
They found that on average, students who used Facebook and responded to texts, whilst doing schoolwork, had a lower GPA and grades, than those who didn’t. [6]
The researchers noted that, “Human information processing is insufficient for attending to multiple input streams and for performing simultaneous tasks.”
Since quality focus and attention is required for learning, multitasking hinders our ability to learn and interpret information effectively.
5. Multitasking creates stress and anxiety
Various studies have shown that multitasking increases our brain’s production of cortisol, a hormone that creates stress.
Once we’re stressed and mentally fatigued, anxiety builds up. And this leads to stress builds up. It’s a vicious cycle of constant stress and anxiety.
But, not all multitasking activities are equally stressful. By far one of the main stressors is email inbox. Excess cortisol is produced, when we switch between reading and responding to emails.
If you struggle with stress and anxiety, declutter your email inbox as soon as possible.
6. Multitasking kills creativity
Neuroscientist, Earl Miller, suggests that multitasking could hinder creativity and innovation,“Innovative thinking, after all, comes from extended concentration…When you try to multitask, you typically don’t get far enough down any road to stumble upon something original because you’re constantly switching and backtracking.”
Creative juice is wasted by switching between tasks. And, breakthrough ideas, which may have crossed your path, would pass you by, during moments of multitasking.
7. Multitasking could reduce emotional intelligence
According to extensive research conducted by Travis Bradberry, best-selling author and emotional intelligence expert, emotional intelligence is a common trait within 90% of top performers in any field. [7]
Bradberry suggests that multitasking could damage the part of the brain— anterior cingulate cortex—responsible for emotional intelligence.
In addition, the two key components of emotional intelligence, self and social awareness, could diminish significantly due to multitasking.
8. Multitasking causes overwhelm and burnout
According to neuroscientist, Daniel Levitin, multitasking is taxing on the brain and drains precious energy, “Asking the brain to shift attention from one activity to another causes the prefrontal cortex and striatum to burn up oxygenated glucose, the same fuel they need to stay on task. And the kind of rapid, continual shifting we do with multitasking causes the brain to burn through fuel so quickly that we feel exhausted and disoriented after even a short time. We’ve literally depleted the nutrients in our brain.”
If you’ve ever wondered why you feel constantly tired, even after a long vacation or a good night of sleep, now you know why.
9. Multitasking leads to stupid decisions
Multitasking also hurts decision-making skills. By constantly switching between tasks, precious ‘willpower muscle’ is depleted.
This leads to the build up of decision fatigue, a psychological term referring to the deterioration of quality decisions, after you’ve made a long series of decisions.[8]
According to neuroscientist, Daniel Levitin, multitasking could also lead to impulsive behaviour and bad decisions, “One of the first things we lose is impulse control. This rapidly spirals into a depleted state in which, after making lots of insignificant decisions, we can end up making truly bad decisions about something important.”
As a result, it becomes much harder to delay gratification and exercise the level of self-control required to achieve our goals.
Protect Your Brain and Productivity
Your brain isn’t built to multitask and manage the barrage of information it faces on a daily basis.
The best way to protect your brain is to practice single-taking. Focus on one thing at a time and take breaks every hour and half, to regain your energy.
Work in a distraction free environment—keep phones and media devices out of sight.
Multitasking feels good, but it isn’t worth your time, energy and certainly, not your brain.
Footnotes
- Ryota et al (2014). Higher media multi-tasking activity is associated with smaller gray-matter density in the anterior cingulate cortex
- Earl Miller (2016). Expert insights, Fortune.
- Gloria Mark et al. The Cost of Interrupted Work: More Speed and Stress
- Daniel Levitin. The Guardian and his book, The Organized Mind: Thinking Straight in the Age of Information Overload.
- Janssen et al. Integrating knowledge of multitasking and interruptions across different perspectives and research methods.
- Junco et al (2012). No A 4 U: The relationship between multitasking and academic performance
- Travis Bradberry, Talent Smart.
- Danzinger et al. Extraneous factors in judicial decisions
- Fun fact: Air traffic controllers are mandated to take a 15 to 30 minutes break, after every hour and half.

